Menu
Brasil

Adolescente sofre necrose nos dentes após aplicação de lentes em SP

A jovem, que pediu para não ser identificada, registrou um boletim de ocorrência na Polícia Civil contra Andreza Aline Gasparini Lima, que teria realizado, em sua própria casa, o procedimento de colocação das lentes sem possuir inscrição no CRO (Conselho Regional de Odontologia)

Redação Jornal de Brasília

08/11/2024 17h49

dente

Foto: Arquivo Pessoal

JOSUÉ SEIXAS
MACEIÓ, AL (FOLHAPRESS)

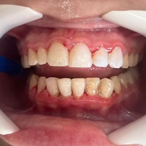
Após aplicar lentes dentárias, uma adolescente de 17 anos de São Vicente, no litoral de São Paulo, apresentou um quadro de necrose óssea e pulpar, que é a morte da polpa dentária, área do dente em que ficam vasos sanguíneos e terminações nervosas.

A jovem, que pediu para não ser identificada, registrou um boletim de ocorrência na Polícia Civil contra Andreza Aline Gasparini Lima, que teria realizado, em sua própria casa, o procedimento de colocação das lentes sem possuir inscrição no CRO (Conselho Regional de Odontologia).

Procurada, a defesa de Andreza afirma que ela fez um curso de aplicação de resinas compostas, ministrado por profissionais da odontologia, e que não foi exigido diploma em odontologia ou registro no CRO. Ainda segundo a defesa, Andreza nunca disse ser dentista e teria dito que trabalha na área de estética.

De acordo com o cirurgião-dentista Mayke Figueiredo, que assumiu o caso da adolescente, o procedimento provocou um quadro grave de periodontite. Foi então feita uma raspagem e se iniciou o tratamento medicamentoso.

“As facetas [lentes] estavam com infiltração e mal adaptadas, todas com degraus e excesso de resina, ocasionando uma periodontite, que é uma infecção gengival grave que danifica a gengiva e destrói o osso maxilar”, disse à Folha de S.Paulo.

Figueiredo acrescentou que a erosão dental deixa a dentina exposta, causando dor e sensibilidade. Ele afirma que a adolescente teve perda óssea e poderia ter perdido os dentes. Também correu o risco de que uma bactéria chegasse à sua corrente sanguínea.

“Infelizmente, este não é um caso isolado. Já atendi outros pacientes na mesma situação. Os riscos são grandes à saúde. Os pacientes procuram pelo preço e não se atentam aos perigos aos quais são submetidos”, lamentou.

O Crosp (Conselho Regional de Odontologia de São Paulo) afirma que a realização de procedimentos pertinentes à odontologia, inclusive a colocação de lentes, compete ao cirurgião-dentista devidamente habilitado e com inscrição ativa no Conselho Regional do estado em que se encontra.

A entidade acrescenta que a prestação da assistência odontológica deve ocorrer em ambiente devidamente constituído, estruturado e licenciado como estabelecimento odontológico, tendo como responsável técnico um cirurgião-dentista devidamente legalizado.

O Crosp disse ainda que, “em pesquisas junto ao banco de dados dos profissionais inscritos do Conselho Federal e Regional de Odontologia, não foi possível, até a presente data, localizar o nome” de Andreza Aline Gasparini Lima.

Procurada para dar informações sobre o registro da ocorrência, a Polícia Civil não respondeu até a publicação deste texto.

    Você também pode gostar

    Assine nossa newsletter e
    mantenha-se bem informado