Gente, estava reunida com as amigas em um bistrô charmoso na Tijuca e pedimos peixe grelhado com legumes acompanhado por uma garrafa de espumante rosé. E enquanto fofocávamos, fiquei sabendo de um caso assustador e pra lá de inusitado que uma mulher protagonizou durante o clímax com o parceiro.
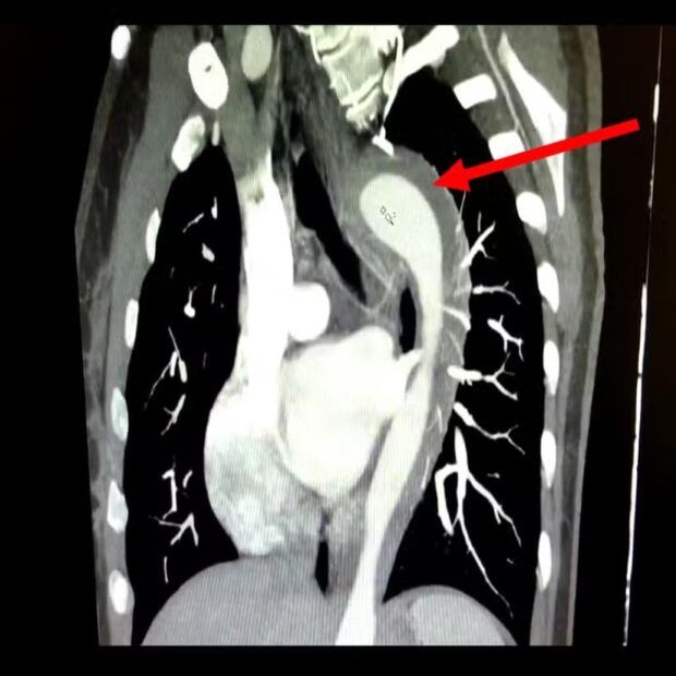
Acontece que, de acordo com informações do G1, uma mulher de 45 anos rompeu a aorta durante o ápice do prazer com o marido. Aos médicos, ela alegou sentir dores intensas, ‘como facadas’, no tórax após chegar ao orgasmo.
À emergência, a paciente contou que as dores dilacerantes começaram durante a relação com o marido. No momento em que atingiu o orgasmo, ela sentiu um forte estalo seguido de dores que iam até as costas.
“A dor era intensa e se assemelhava a facadas, junto à falta de ar e náuseas”, contou ao periódico.

O caso considerado extremamente raro foi divulgado pela revista científica ‘American Journal of Case Reports’.
Bem, segundo os médicos responsáveis pelo atendimento da mulher, foi constatado que ela não tratava a hipertensão há um ano e fumava há 17, fatores que, em parte, colaboraram com o rompimento da aorta.
O hematoma na aorta é grave e se não tratado corretamente pode evoluir para aneurisma ou ruptura total, que pode levar o paciente à morte. No entanto, o tratamento pode ser clínico ou cirúrgico, de acordo com a área afetada.
Sobre o caso, a mulher foi submetida a uma cirurgia cardiotorácica e recebeu alta médica após três dias de internamento.
Amores, que baita susto a diva passou, hein?!